AMN Neurotrauma Advanced Course – Skull Base & Penetrating Brain Trauma
NTSC Extended | AMN Intensives - 2nd Edition, Vietnam
November 4th, 2025
0
Days
0
Hours
0
Minutes
0
Seconds
NTSC Vietnam - Training Course Booklet
What are the global challenges for optimal Neuro Trauma Treatment?
Lack of epidemiological data, especially in low- and middle-income countries (LMIC)
Short-term treatment focus
Treatment nihilism about cognitive, behavioural and depressive disorders in acute care
Organizational problems:
Lack of information flow about patient long-term needs
Lack of specialists (e.g. in rehab)
Lack of follow-up visits
Lack of collaboration between medical specialists involved in patient‘s 'Chain of Recovery'
What are the objectives of NTSC?
Primary Goal
Changing the treatment paradigm – from short-term focus to long-term follow-up
Multidisciplinary teams developing a joint understanding for the complex needs of TBI patients at each stage of treatment
Reduce the treatment nihilism about cognitive, behavioral and depressive disorders in acute care
Agree on the most important quality indicators of care and measure them in a new TBI registry
Managing the lack of collaboration between medical specialists involved in patient‘s 'Chain of Recovery' – lack of forming multidisciplinary teams
Event Schedule
| Lecture Hall 12, Hanoi Medical University | |||
| 07:30 - 08:00 | Registration | ||
| Module 1 | Introduction | Moderator: Prof. Christian Matula Assoc. Prof. Dong Van He | |
| 08:00 - 08:10 | Welcome speech Course structure, objectives & Precourse assessment | Assoc. Prof. Dong Van He Prof. Christian Matula | |
| 08:10 - 08:40 | Special Lecture I “Skull base trauma” | Prof. Christian Matula | |
| Module 2 | Module II - Basics in skull base and penetrating brain trauma | Prof. Christian Matula Assoc. Prof. Dong Van He | |
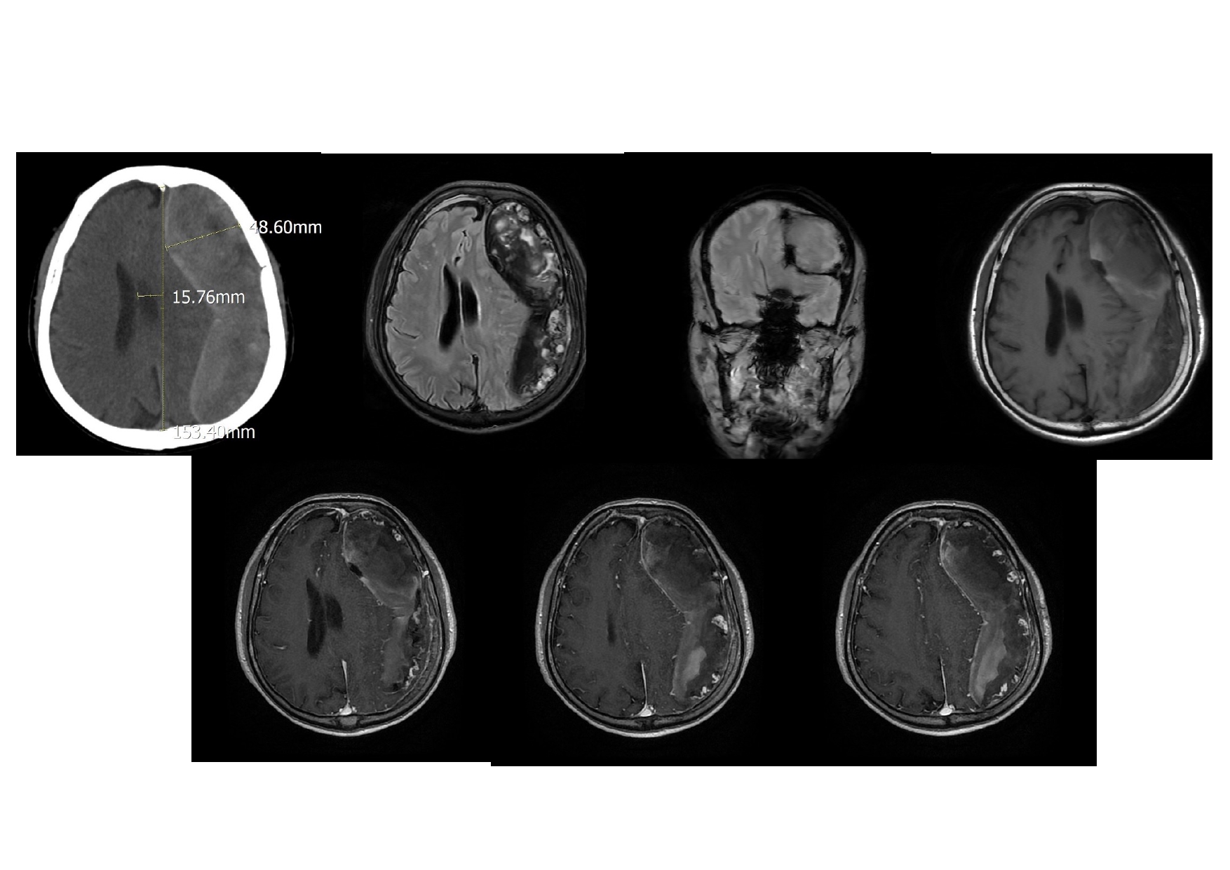
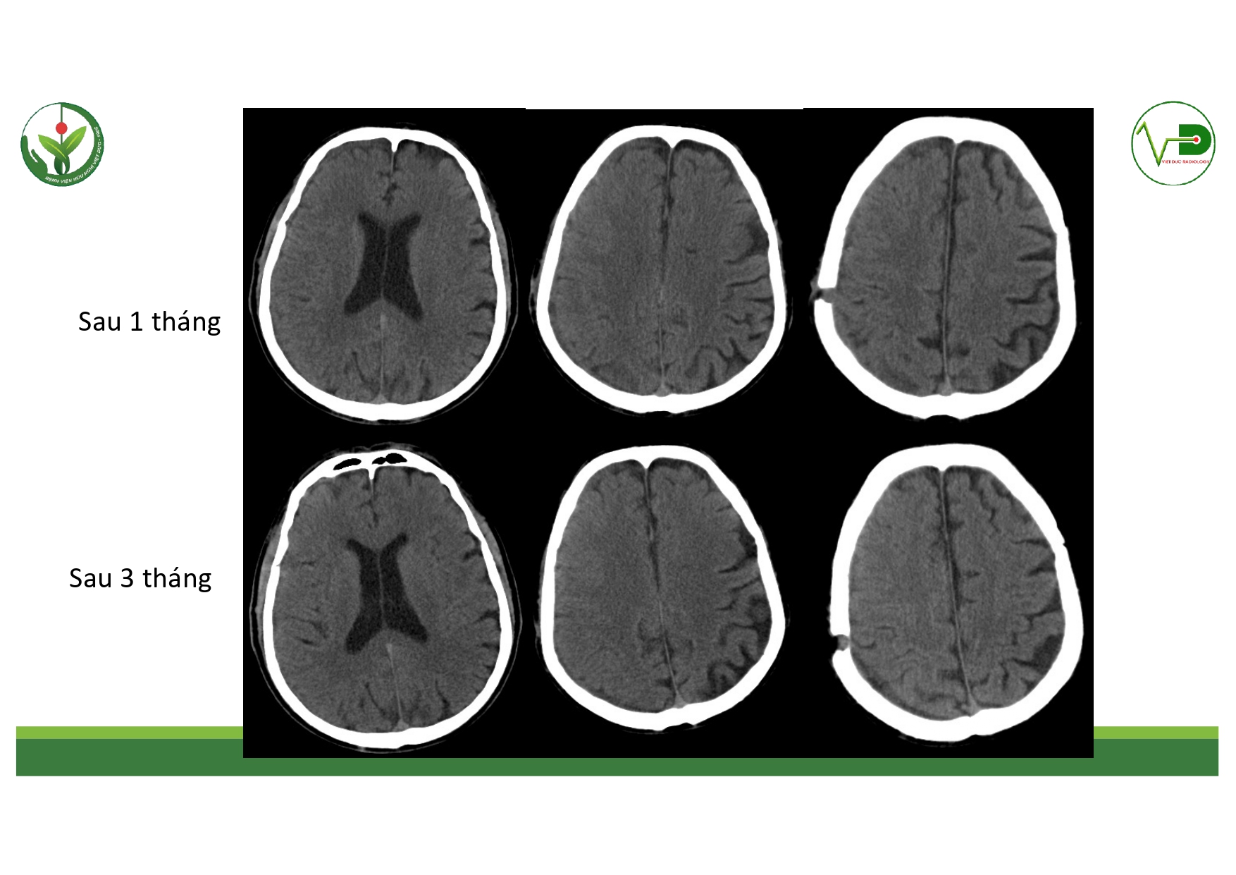
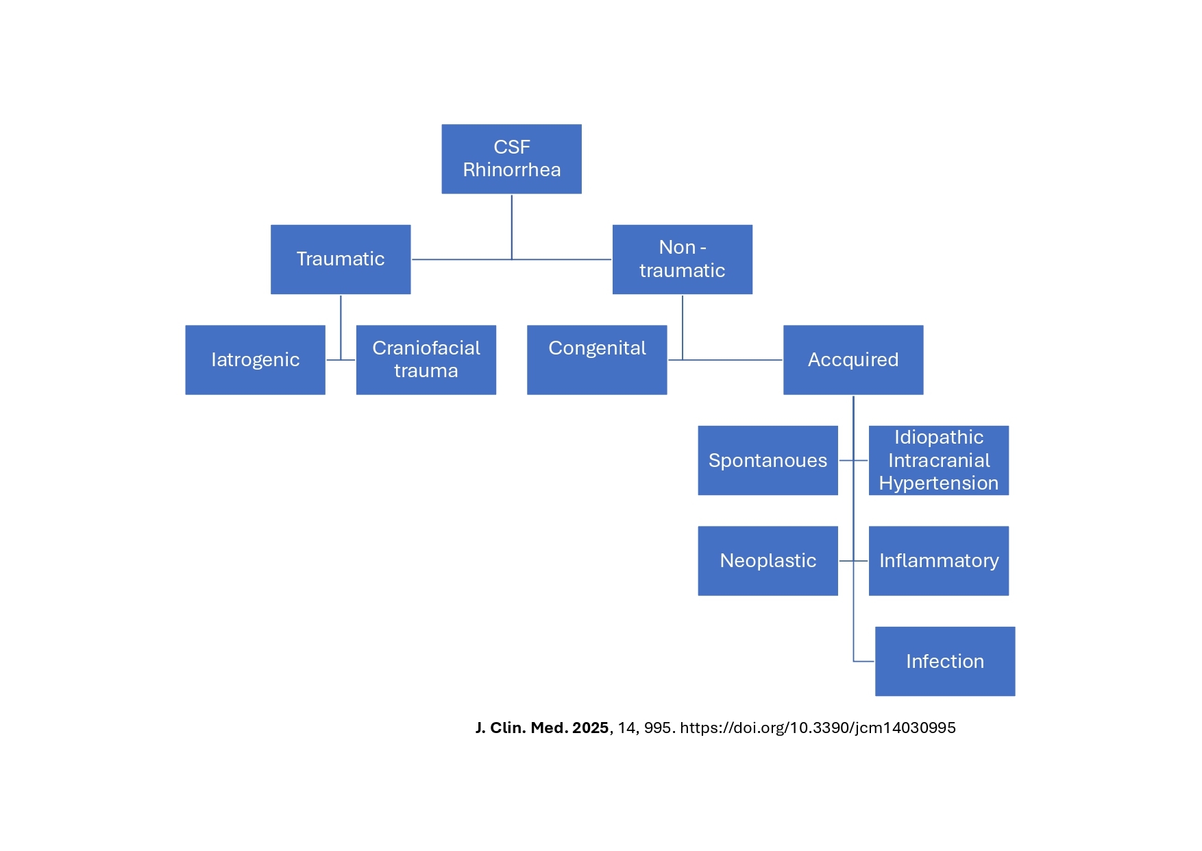
| 08:40 - 09:20 | Diagnosis of skull base trauma Post-traumatic CSF leakage | Assoc. Prof. Dong Van He Assoc. Prof. Kieu Dinh Hung | |
| 09:20 - 09:30 | Coffee break | ||
| 09:30 - 10:20 | DEBATE 1 | CSF leakage? Lumbar drainage and antibiotic prophylaxis vs Surgery Speakers: Lumbar drainage & antibiotic prophylaxis – Dr. Le Duc Tam Surgery – Dr. Duong Trung Kien | Moderator: Prof. Christian Matula | |
| 10:20 - 10:50 | Special Lecture II “Shock room management” | Prof. Harald Widhalm | |
| 10:50 - 11:05 | Pre-hospital management | Assoc. Prof. Do Ngoc Son | |
| 11:05 - 12:00 | Interactive Case Demonstration and Discussion I ~20 minutes each, (5 minutes presentation followed by 15 minutes discussion) Practicals: How I am doing it? Participants present case presentations about how they do it? The faculty comment on and discussion. 1. ICP management: How I am doing it? - Assoc. Prof. Duong Dai Ha 2. CSF leakage management: How I am doing it? - Assoc. Prof. Nguyen Thanh Bac | Prof. Christian Matula International & local faculties Participants | |
| 12:00 - 13:00 | Lunch Break & Interim Sum-Up | All | |
| Module 3 | Module III - Advances in skull base and penetrating brain trauma | Prof. Christian Matula Assoc. Prof. Nguyen Trong Yen | |
| 13:00 - 13:30 | Special Lecture III Polytraumatized Patients having brain trauma – How to handle it? | Prof. Harald Widhalm | |
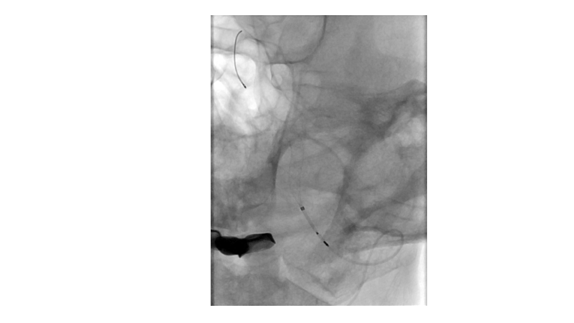
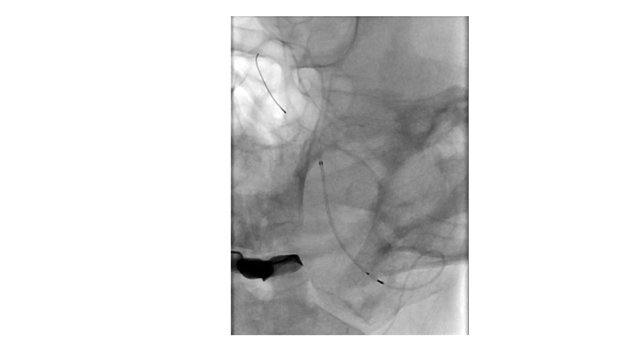
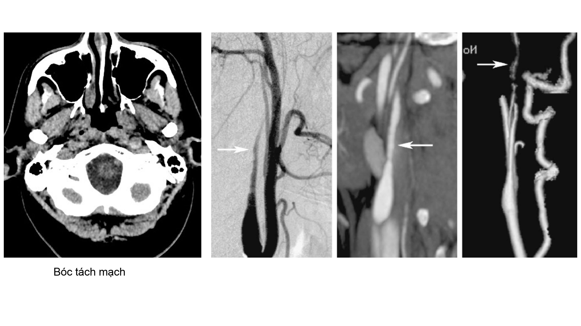
| 13:30 - 14:10 | Surgical management of skull base trauma Endovascular Management of Post-Traumatic Intracranial Vascular Lesions | Assoc. Prof. Nguyen Trong Yen Dr. Nguyen Ngoc Cuong | |
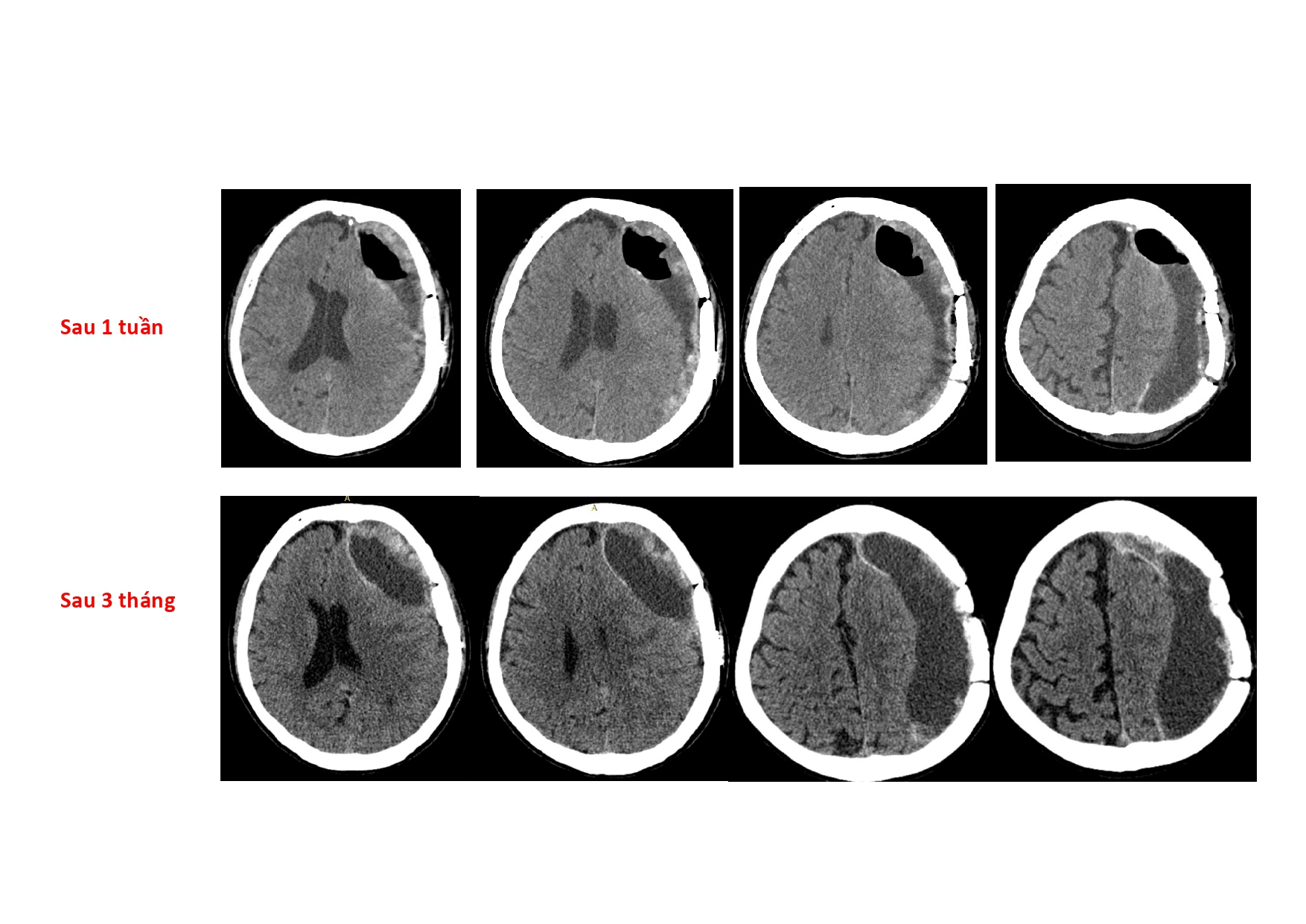
| 14:10 - 15:10 | DEBATE 2 | Recurrent chronic subdural hematoma– surgical or endovascular intervention? Surgical: Assoc. Prof. Duong Dai Ha Endovascular: Assoc. Prof. Le Thanh Dung | Moderator: Prof. Christian Matula Assoc. Prof. Duong Dai Ha | |
| 15:10 - 16:10 | Interactive Case Demonstration and Discussion II: ~20 minutes each, (5 minutes presentation followed by 15 minutes discussion) Practicals: How I am doing it? Participants present case presentations about how they do it? The faculty comment on and discussion. 1. Endoscopic approach in post-traumatic CSF leakage - Dr. Nguyen Thanh Xuan 2. Endovascular approach in CCF - Assoc. Prof. Le Thanh Dung | Prof. Christian Matula International & local faculties Participants | |
| 16:10 - 16:40 | Special Lecture IV ““Current Principles in Neuro-Rehabilitation after TBI” | Prima. Dr. Andreas Winkler | |
| 16:40 - 17:10 | Special Lecture V “Penetrating brain trauma" | Prof. Christian Matula | |
| 17:10 - 17:30 | Open Forum Discussion based on relevant Cases | All participants and faculty | |
| 17:30 - 18:00 | Sum-Up & Closure of the day Handover of the certificates END OF COURSE | Prof. Christian Matula |
The European Faculty

Prof. Christian Matula
Professor of Neurosurgery

Allgemeines Krankenhaus Wien (AKH)

Prof. Harald Widhalm
Professor of Neurotraumatology

Allgemeines Krankenhaus Wien (AKH)

PRIMA Dr. Andreas Winkler
Specialist in Neurology, Neurosciences, Neurorehabilitation and Geriatrics & Medical Director

Institute Neuromed
The Vietnam Faculty


Assoc. Prof. Dong Van He
President of Vietnamese Neurosurgical Society; Vice Director

Viet Duc University Hospital

Assoc. Prof. Nguyen Thanh Bac
Vice director, 103 Military Hospital

103 Military Hospital

Assoc. Prof. Kieu Dinh Hung
Vice President, Vietnamese Neurosurgical Society

Vietnamese Neurosurgical Society

Assoc. Prof. Duong Dai Ha
General Secretary

Vietnamese Neurosurgical Society

Assoc. Prof. Nguyen Trong Yen
Vice-Director, 108 Military Hospital

108 Military Hospital

Assoc. Prof. Do Ngoc Son
Director, ICU Center

Bach Mai Hospital

Assoc. Prof. Le Thanh Dung
Head, Medical Imaging & Nuclear Medicine Center

Viet Duc University Hospital

Dr. Nguyen Ngoc Cuong
Head of Interventional Radiology Department, Radiology Center

Hanoi Medical University Hospital

Dr. Nguyen Thanh Xuan
Vice Chief, Neurosurgery Dept.

Viet Duc University Hospital

Dr. Duong Trung Kien
Head of Department of Neurosurgery

Saint Paul General Hospital

Dr. Le Duc Tam
Neurosurgery Dept. (Interpreter)

Hanoi Medical University

Dr. Pham Ngoc Huy
Department of Neurosurgery (Interpreter)

VietDuc University Hospital

Dr. Nguyen Xuan Dong
Department of Rehabilitation (Interpreter)



















































